

Orthodontics in Salisbury & Berlin, MD
Dr. Michael Tilghman has been creating beautiful smiles since 2001. Our commitment to patient care is unmatched, and our offices radiate friendliness and comfort.
With over 30 years of experience, we offer only the most efficient and time-proven treatment methods for patients in Salisbury, Berlin, Ocean City, and other areas throughout the Eastern Shore.
Learn MoreMeet the Doctor
You only get one smile, so it makes sense to trust the experts. With more than 30 years of experience, you’ll be in good hands. Dr. Michael Tilghman loves shaping beautiful smiles that build confidence.
Learn MoreWe're Here for You
Extraordinary Smiles, Extraordinary Service
We want you to have the best experience possible. That's why we do everything we can to make your experience stress-free.

Affordable
Treatment
We’ll create an affordable payment plan that meets your needs and fits your family’s budget.

Experienced
Team
You only get one smile, so it makes sense to trust the experts. With our experienced doctor, you’ll be in good hands.

Family Orthodontics
Everyone throughout the Eastern Shore deserves a beautiful smile, so we offer treatment for children, teens, and adults.

01
Clear Aligners
Customized clear aligners from Invisalign, or our in-office brand, Smiles Correct, can give you a straighter smile without the appearance of braces.
Learn More
02
Clear Braces
These ceramic brackets blend in with the color of your teeth, so they’re less noticeable than metal braces.
Learn More
03
Metal Braces
Our modern metal braces are less visible, lighter, and more comfortable than ever, giving you a better treatment experience.
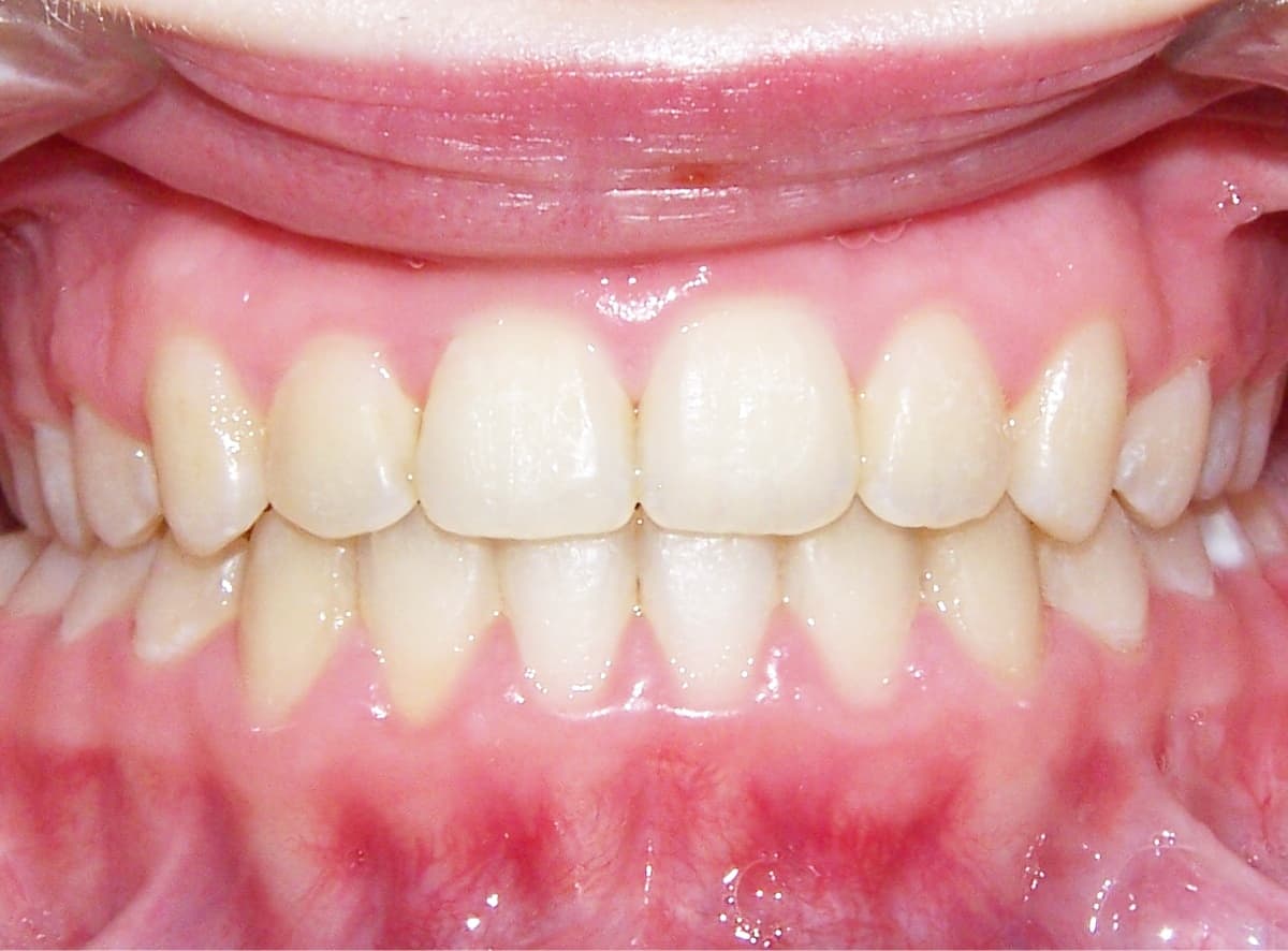
Learn MoreBefore & Afters
At Tilghman Orthodontics, we strive to give our patients the results they want at a price they can afford. We take joy in seeing beautiful new smiles that change our patients lives and improve their self confidence. Take a look at some of our results.
View All

The first consultation was easy. It was a very fast and informative consultation. Dr. Tilghman is people person. It was a great experience!
Throughout the whole journey, everyone felt like a friend. I felt like I've known everyone forever. It was really nice being greeted and treated like a friend.
Error: No feed with the ID 2 found.
Please go to the Instagram Feed settings page to create a feed.